公司邮箱
contact@innermed.com
「镜」益求“精”——英美达内镜直肠隆起肿物ESD手术病例分享
面对日益高发的消化道癌症,预防的意义远大于治疗。
英美达始终以创新为使命,推进内镜诊疗技术普及,为医生提供可靠的产品解决方案,让更多患者享有优质、可负担的医疗服务。
病例介绍
患者:65岁,男性
诊断:直肠粘膜层低回声病变(腺瘤?)
术式:内镜黏膜下剥离术(ESD)
设备:
超声内镜:英美达小探头超声内镜 iMP-8902
电子内镜:英美达双焦放大内镜 iPS-8100 max
辅助检查:
内镜下:直肠可见一大小约0.6cm*0.6cm隆起型病变。
超声内镜下:直肠可见一大小约3.5mm*1.4mm低回声病变,内部回声均匀,似起源于粘膜层

诊断:直肠粘膜层低回声病变(腺瘤?)
插镜情况:
循腔进镜至回肠末端,粘膜未见明显异常,回盲部阑尾开口及回盲瓣开口形态未见异常。
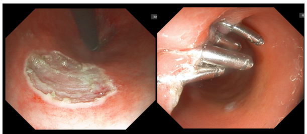
退镜观察,所见结肠粘膜表面光滑、润泽、血管网清晰,皱襞规则出现,部分粘膜粗糙,可见大片粘膜呈黄斑样改变,未见异常分泌物、糜烂、溃疡及肿物。直肠可见一大小约0.6cm×0.6cm息肉样隆起,予以粘膜下注射后抬举尚可,以圈套器圈套困难,故以圈套器尖端为针刀行粘膜切开后逐层剥离病变,术后创面封闭钛夹4枚止血,术后标本送检。


诊断:
1.直肠隆起ESD术(待病检)
2.血吸虫肠病
▍关于直肠息肉、腺瘤
直肠腺瘤是直肠常见的一种肿瘤性息肉,属于良性病变,但被公认为重要的癌前病变。其病理学类型主要包括管状腺瘤、绒毛状腺瘤和管状-绒毛状腺瘤。
研究认为至少80%~95%的肠癌由大肠腺瘤演变而来,大肠腺瘤像一颗种子一样,随着时间的延长发展为大肠癌的几率会越来越大。根据腺瘤的数量、大小、形态等,内镜医生会决定是先切除还是先病理,也会初步判断肠息肉的良恶性,如果出现体积较大、基底部宽、表面凹凸不光滑、呈菜花状的息肉,其恶变率相对较高。
因此,及时行肠镜检查,一旦发现息肉,及时切除,并遵医嘱定期复查,这是预防肠癌的重要手段。